Palma
|
Manacor

Casos clínicos

Carillas-Caso-Clinico-200-antes Carillas-Caso-Clinico-200-despues
Rehabilitación completa por desgaste dental severo: reconstruimos altura, forma y color con materiales de alta calidad, devolviendo función, estética y juventud a la sonrisa.
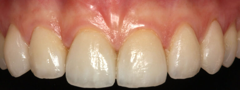
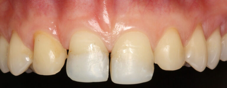
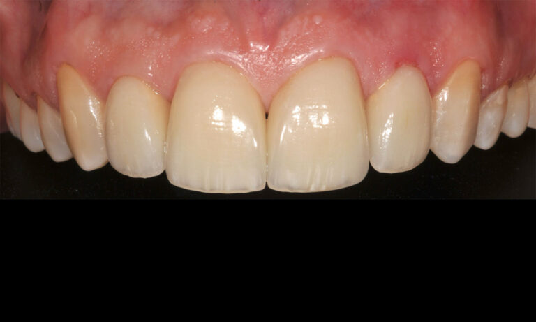
Carillas-Caso-Clinico-34 Carillas-Caso-Clinico-35
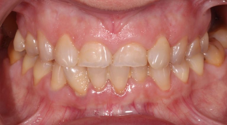
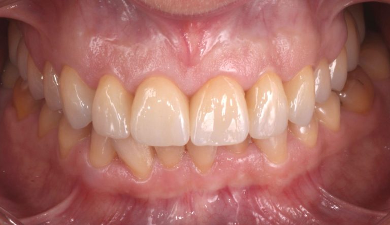
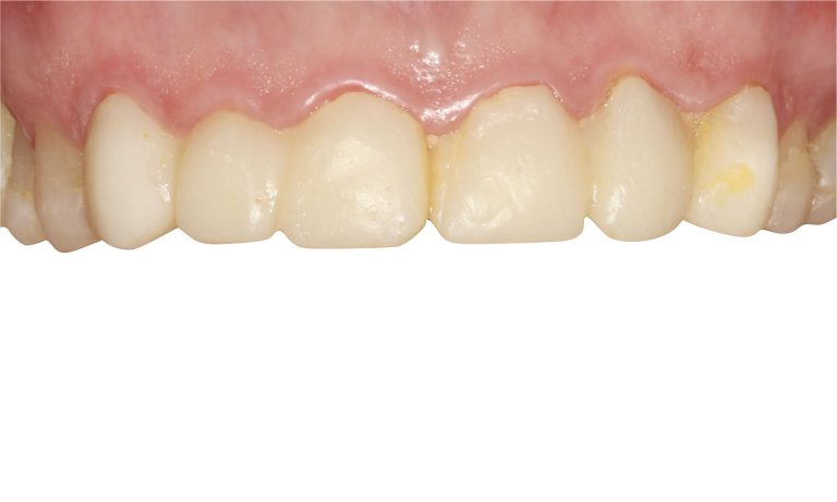
Reposición de coronas antiguas mal ajustadas por nuevas coronas de alta calidad, devolviendo comodidad, función masticatoria y una sonrisa natural y armónica.
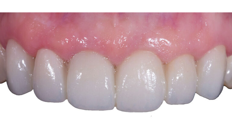
Carillas-Caso-Clinico-32 Carillas-Caso-Clinico-33
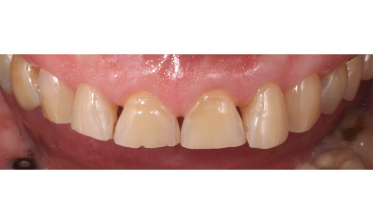
Carillas de porcelana para cerrar espacios negros y mejorar proporción: en tres citas el paciente recuperó una sonrisa rejuvenecida, armónica y natural.
Carillas-Caso-Clinico-30 Carillas-Caso-Clinico-31
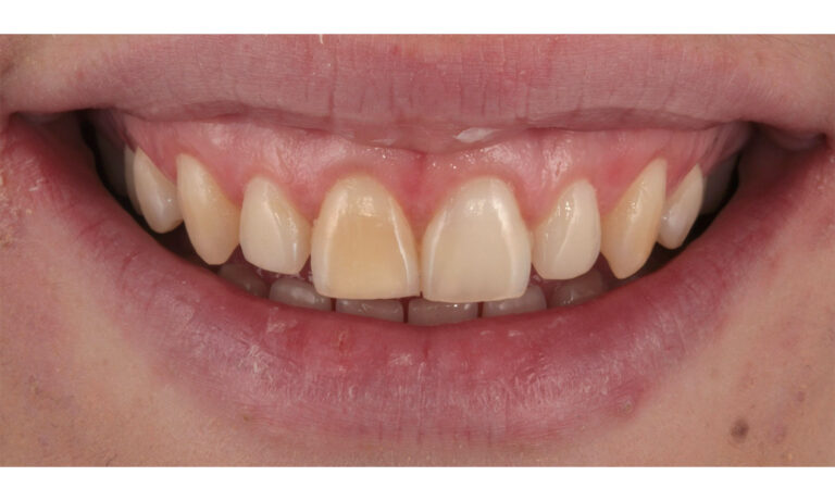
Carillas de porcelana en tres citas: cerraron espacios y mejoraron alineación, color y forma, dando al paciente una sonrisa rejuvenecida, natural y armónica.
Carillas-Caso-Clinico-50-antes Carillas-Caso-Clinico-50-despues
Carillas de porcelana en tres citas: corrigieron apiñamiento y espacios, mejoraron color y forma dental, logrando una sonrisa rejuvenecida y natural.
Periodoncia-Caso-Clinico-18 Periodoncia-Caso-Clinico-19
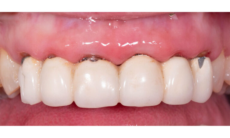
De sonrisa artificial a natural: alargamiento de corona y coronas de zirconio digitales devolvieron armonía, luminosidad y confianza a la paciente.
Periodoncia-Caso-Clinico-16 Periodoncia-Caso-Clinico-17
Alargamiento de corona estético para corregir sonrisa gingival: mejora la proporción dental, reduce encía visible y crea una sonrisa armónica y atractiva.
Periodoncia-Caso-Clinico-14 Periodoncia-Caso-Clinico-15
Alargamiento de corona estético que corrige la sonrisa gingival, mejora proporción dental y logra una sonrisa más armónica, natural y atractiva.
Rehabilitacion-Caso-Clinico-13 Rehabilitacion-Caso-Clinico-14
Implantes con carga inmediata en un solo día: el paciente recuperó función y estética tras extraer dientes dañados, logrando una sonrisa fija y natural.
Rehabilitacion-Caso-Clinico-11 Rehabilitacion-Caso-Clinico-12
Retratamiento de rehabilitación completa para eliminar molestias, restaurar función y devolver estética, logrando una sonrisa saludable y armónica.