Sarro dental: la silenciosa amenaza de tu boca
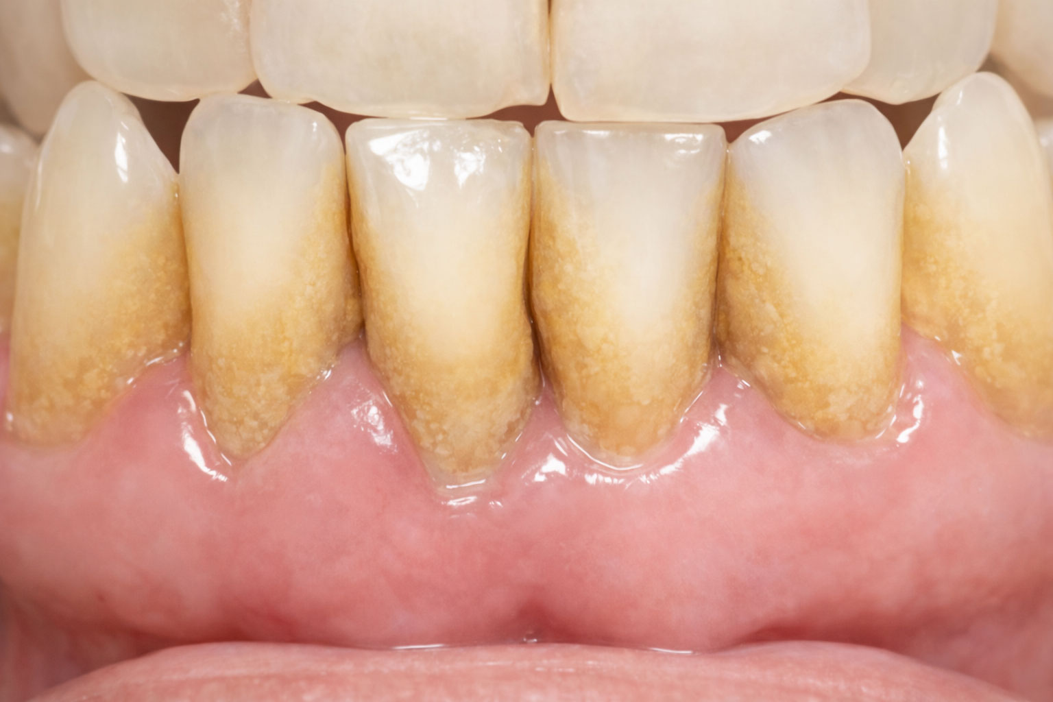
El sarro dental, también conocido como cálculo, representa una de las afecciones bucales más comunes y a menudo subestimadas. Su naturaleza insidiosa lo convierte en una silenciosa amenaza para la salud oral, comenzando su formación de manera imperceptible pero con consecuencias significativas si no se aborda a tiempo.
Todo se inicia con la placa bacteriana, una película incolora y pegajosa que se forma constantemente en la superficie de los dientes. Esta placa se compone de bacterias orales, saliva, restos de alimentos y células muertas, adhiriéndose firmemente a las piezas dentales y a las encías, especialmente en las zonas de difícil acceso durante el cepillado.
Cuando esta placa no se elimina eficazmente con el cepillado diario y el uso del hilo dental, empieza un proceso de mineralización. Los minerales presentes en la saliva, como el calcio y el fosfato, se depositan progresivamente en la estructura blanda de la placa. Este fenómeno puede observarse incluso en estudios sobre la salud bucodental en la región mediterránea, donde la dieta influye en la composición salival.
>>> ¿Vives en Mallorca? Solicítanos tu primera cita gratuita <<<
Con el tiempo, esta acumulación se endurece y calcifica, transformándose en lo que conocemos como sarro dental. A diferencia de la placa, el sarro tiene una consistencia dura y porosa, con un color que varía del blanco amarillento al marrón oscuro, dependiendo de los hábitos alimentarios y la exposición a colorantes.
Una vez que la placa se ha mineralizado y convertido en sarro, el cepillado dental regular, por muy riguroso que sea, resulta ineficaz para eliminarlo. Este depósito calcificado se adhiere firmemente a los dientes, incluyendo los espacios interdentales y bajo la línea de las encías, creando una superficie rugosa que facilita aún más la acumulación de nueva placa.
La presencia de sarro dental es una de las principales causas del sarro en enfermedades periodontales, como la gingivitis. Estudios epidemiológicos globales estiman que más del 70% de los adultos mayores de 30 años presentan algún grado de acumulación de sarro, lo que subraya la importancia de su prevención y eliminación profesional.
Para combatir esta solidificación y evitar sus graves consecuencias, como la pérdida ósea y dental, es indispensable una limpieza dental profesional. En una clínica dental en Palma, los especialistas utilizan herramientas específicas para raspar y eliminar eficazmente estos depósitos, restaurando la salud de las encías y los dientes.
En última instancia, una higiene bucal impecable es la primera línea de defensa para prevenir la formación de sarro. Visitar regularmente a un dentista en Palma para revisiones y limpiezas profesionales es crucial para mantener a raya la placa y el sarro, asegurando una sonrisa sana y protegiendo tu bienestar general.
¿Preocupado por el Sarro? ¡Actúa Ahora!
La placa bacteriana mineralizada no se elimina con el cepillado diario. Para una boca sana y protegida del sarro, una revisión y limpieza profesional es esencial.

Detrás del sarro: hábitos y factores que lo propician
La formación de sarro dental trasciende la mera deficiencia en el cepillado, siendo un proceso influenciado por una compleja interacción de hábitos y factores biológicos. Una comprensión profunda de sus causas es crucial para una prevención efectiva, abordando el problema desde su raíz.
Una dieta rica en azúcares y carbohidratos refinados, como los presentes en la bollería industrial o bebidas azucaradas, alimenta directamente a las bacterias bucales. Este ambiente propicio acelera la formación de placa, el precursor directo del sarro dental, contribuyendo significativamente a su aparición temprana y persistencia.
El consumo de tabaco y alcohol agrava considerablemente el riesgo de acumulación de sarro. El tabaco, por ejemplo, reduce el flujo salival y altera el pH bucal, mientras que el alcohol deshidrata, facilitando que los minerales de la saliva se cristalicen más rápidamente sobre los dientes, formando así el sarro dental.
La predisposición genética juega un rol menos visible pero igualmente relevante en las causas del sarro. Algunas personas poseen una composición salival particular, un pH bucal o una estructura del esmalte dental que las hace inherentemente más susceptibles a la calcificación de la placa bacteriana.
Factores como la composición de la saliva, rica en calcio y fosfato, pueden influir en la velocidad con la que la placa se mineraliza. Además, ciertas enfermedades sistémicas, como la diabetes, pueden alterar la microbiota oral y el entorno bucal, favoreciendo la aparición del sarro dental y encías.
Para identificar y modificar estos hábitos de riesgo, es fundamental la orientación profesional. En centros de salud locales o clínicas de atención primaria de su comunidad, como una clínica dental en Palma, se ofrece asesoramiento personalizado y herramientas para el manejo preventivo de esta condición.
Adoptar un enfoque de odontología integral que combine una adecuada higiene bucal con la modificación de la dieta y el estilo de vida es clave. Complementar estos esfuerzos con una higiene dental profesional periódica garantiza la eliminación de las formaciones de sarro existentes, previniendo así sus consecuencias a largo plazo.
Dieta y Azúcares
Alimentan las bacterias bucales, acelerando la formación de placa, el precursor del sarro.
Tabaco y Alcohol
Reducen el flujo salival y deshidratan la boca, favoreciendo la calcificación de minerales.
Genética y Saliva
Predisposición individual, pH bucal y composición salival que influyen en la mineralización.
Las repercusiones del sarro: daños en encías y dientes
La acumulación persistente de sarro dental no es una simple cuestión estética; representa una amenaza directa para la integridad de nuestras encías y dientes. Esta calcificación irrita los tejidos blandos de la boca, desencadenando una cascada de problemas de salud bucal que pueden tener graves consecuencias.
El primer estadio de esta afección es la gingivitis por sarro, una inflamación de las encías. Se manifiesta con síntomas claros como enrojecimiento, hinchazón y sangrado al cepillarse o usar hilo dental, señales inequívocas de que la salud gingival está comprometida.
Si la gingivitis no recibe el adecuado tratamiento del sarro dental, la irritación crónica y la presencia bacteriana avanzan. Este descuido permite que la enfermedad evolucione a periodontitis, una condición mucho más grave que afecta las estructuras de soporte dental.
La periodontitis es una enfermedad destructiva donde las bacterias y la respuesta inflamatoria del cuerpo erosionan progresivamente el hueso alveolar y los ligamentos periodontales. La Organización Mundial de la Salud (OMS) estima que el 10% de la población adulta global padece periodontitis severa, una cifra que subraya su prevalencia.

Como resultado de esta destrucción, los dientes pierden su sujeción firme, empezando a moverse y, en los casos más avanzados, pueden llegar a caerse. La pérdida dental no solo impacta la función masticatoria, sino también la estética y la calidad de vida general del individuo.
La detección temprana y la intervención profesional son cruciales para detener este progreso dañino. Las clínicas dentales generales, como una fiable clínica dental en Palma, son los puntos de referencia para diagnosticar estas afecciones antes de que se vuelvan irreversibles.
Una higiene dental profesional regular, que incluye la eliminación del sarro, es el pilar fundamental para prevenir la gingivitis y la periodontitis. Estos procedimientos no solo limpian, sino que también permiten al dentista monitorear la salud oral y actuar preventivamente.
Mantener una buena salud bucal es un camino evitable hacia la pérdida dental. Un dentista de confianza puede ofrecer la guía y los tratamientos necesarios para proteger tus dientes y encías de las severas repercusiones del sarro, asegurando una sonrisa saludable a largo plazo.
El Impacto Mundial de la periodontitis severa
La Organización Mundial de la Salud (OMS) estima que un alarmante 10% de la población adulta global sufre de periodontitis severa. Esta cifra subraya la gravedad y prevalencia de una enfermedad que, comenzando con la acumulación de sarro, puede culminar en la destrucción de los tejidos de soporte dental y la consiguiente pérdida de dientes si no se interviene a tiempo.
El sarro: una ventana a problemas de salud sistémicos
La presencia de sarro dental no solo compromete la salud bucal, sino que actúa como un indicador silencioso de riesgos potenciales para el bienestar general del organismo. La inflamación crónica generada por la placa y el sarro dental, y su progresión a periodontitis, tiene la capacidad de repercutir en sistemas vitales.
Una de las conexiones más estudiadas es con las enfermedades cardiovasculares. Las bacterias y mediadores inflamatorios originados en la boca pueden ingresar al torrente sanguíneo, contribuyendo a la aterosclerosis, el endurecimiento de las arterias. Este proceso eleva significativamente el riesgo de eventos graves como infartos y accidentes cerebrovasculares.
Estudios respaldados por instituciones como la Asociación Americana del Corazón y el Consejo General de Dentistas de España han enfatizado esta relación bidireccional. Se ha observado que pacientes con periodontitis severa tienen un riesgo hasta dos o tres veces mayor de desarrollar patologías cardíacas. La inflamación sistémica es un factor clave en esta preocupante interconexión.
Además, existe una compleja relación entre el sarro dental y la diabetes mellitus. La periodontitis puede dificultar el control glucémico en personas diabéticas, mientras que una diabetes mal controlada agrava la salud de las encías y la propensión a la formación de sarro. Es un ciclo vicioso que exige un manejo cuidadoso y coordinado.
Para los pacientes diabéticos, mantener una higiene bucal rigurosa es crucial para prevenir complicaciones sistémicas. Una limpieza dental profesional regular y el tratamiento oportuno del sarro son vitales para mejorar el control de la glucosa y reducir riesgos asociados. Esto subraya la importancia de un enfoque preventivo.
Conscientes de estas interconexiones, los programas de salud pública en España, como las iniciativas de la Consejería de Sanidad de la Comunidad de Madrid, promueven la integración de la salud bucodental en la atención primaria. Se busca educar a la población sobre cómo la higiene dental profesional influye directamente en la salud sistémica.
Clínicas como nuestra clínica dental en Palma adoptan un enfoque de odontología integral, colaborando estrechamente con médicos internistas y endocrinólogos. Este modelo garantiza que la salud bucal no se vea como un área aislada, sino como parte fundamental del bienestar general del paciente. La atención holística es la clave.
En definitiva, la acumulación de sarro no es meramente un problema estético o local; es una señal que nos alerta sobre posibles desequilibrios en el organismo. Su manejo adecuado mediante un tratamiento del sarro dental profesional es una inversión directa en la prevención de enfermedades sistémicas mayores y en la mejora de la calidad de vida.
Sarro dental: Conexiones clave con enfermedades sistémicas
La periodontitis severa, consecuencia directa del sarro acumulado, eleva el riesgo de desarrollar enfermedades cardiovasculares (como infartos y ACV) hasta 2 o 3 veces. Asimismo, el sarro y la inflamación crónica dificultan el control de la diabetes, creando un ciclo vicioso donde la salud bucal y sistémica se afectan mutuamente. La inflamación sistémica es el principal factor de conexión.
Diagnóstico temprano del sarro: clave para una boca sana
La detección precoz del sarro dental es fundamental para mantener una salud bucodental óptima y prevenir complicaciones mayores. El rol del odontólogo es insustituible en este proceso, actuando como el principal guardián de nuestra higiene oral, más allá de la rutina diaria.
El primer paso en la evaluación profesional es un minucioso examen visual. Durante esta fase, el dentista observa la presencia de placa y sarro dental en las superficies dentales y bajo la línea de las encías, prestando especial atención a los espacios interdentales y los márgenes gingivales.
Para una valoración más profunda, se utiliza la sonda periodontal. Este instrumento permite medir la profundidad de las bolsas periodontales, indicando el grado de inflamación y la posible afectación de los tejidos de soporte, un signo clave de gingivitis por sarro o periodontitis incipiente.
Además del examen clínico, las radiografías dentales son esenciales para completar el diagnóstico. Estas imágenes revelan la extensión del sarro subgingival no visible directamente y, crucialmente, detectan cualquier pérdida ósea alrededor de los dientes, una consecuencia grave del sarro dental.
La visita regular a un dentista de confianza, ya sea en una clínica dental de barrio en el corazón de cualquier ciudad española o en un centro de atención primaria con servicio odontológico, es vital. Esta constancia asegura un seguimiento adecuado y permite identificar los síntomas del sarro dental antes de que se agraven.
Un diagnóstico preciso sobre cómo se forma el sarro y su extensión permite establecer un plan de tratamiento del sarro dental efectivo. La recomendación habitual es una limpieza dental profesional o tartrectomía, un procedimiento clave para eliminar el sarro y restaurar la salud periodontal.
Actuar con prontitud, siguiendo las indicaciones del profesional, evita las graves sarro dental consecuencias, como la progresión de enfermedades periodontales que pueden comprometer la estabilidad de los dientes. La prevención activa es siempre la estrategia más inteligente y económica.
Una higiene dental profesional periódica, determinada por el odontólogo según las necesidades individuales, es la piedra angular para erradicar el sarro acumulado y prevenir su reaparición, garantizando una boca sana a largo plazo y una sonrisa protegida.
Examen Visual Detallado
El odontólogo identifica placa y sarro en superficies dentales y bajo la línea de las encías.
Sonda Periodontal
Mide la profundidad de las bolsas para detectar inflamación o afectación de los tejidos de soporte.
Radiografías Dentales
Revelan sarro subgingival oculto y cuantifican la pérdida ósea, crucial para un diagnóstico completo.
Limpieza dental profesional: el primer paso contra el sarro
El detartraje, conocido popularmente como limpieza dental profesional, constituye la estrategia más eficaz y directa para combatir el sarro dental ya formado. Este procedimiento es fundamental para desincrustar las calcificaciones endurecidas que la higiene doméstica no logra remover, siendo un pilar en la prevención de afecciones bucales.
Durante la sesión, los profesionales utilizan primordialmente instrumentos ultrasónicos de última generación. Estos dispositivos, que representan un avance significativo en odontología, emiten vibraciones de alta frecuencia que actúan directamente sobre las acumulaciones de placa y sarro dental, fragmentándolas con suavidad.
La acción vibratoria del ultrasonido permite desprender el sarro dental no solo de las superficies visibles del esmalte, sino también de las zonas más recónditas, incluyendo el espacio crucial bajo la línea de las encías. Este enfoque reduce el riesgo de irritación y minimiza cualquier molestia durante el tratamiento.

Posteriormente, se emplean instrumentos manuales o curetas específicas para asegurar un acabado minucioso. Estos complementos son esenciales para eliminar los depósitos residuales y alisar la superficie radicular, previniendo así la adhesión futura de nueva placa bacteriana.
Realizar periódicamente esta higiene dental profesional es crucial para evitar las graves consecuencias del sarro dental y encías, como la inflamación gingival o gingivitis por sarro. Un correcto tratamiento del sarro dental mantiene las encías sanas y previene enfermedades periodontales más severas.
En una clínica dental Mallorca de vanguardia, el paciente puede esperar un ambiente confortable y un procedimiento generalmente indoloro, que suele durar entre 45 y 60 minutos. La meta es restaurar la salud periodontal y ofrecer una sensación de frescura y limpieza duradera en la boca.
La elección de un centro con equipos modernos y profesionales especializados en higiene bucal es un factor determinante para garantizar la calidad y eficacia del detartraje. Una inversión en esta atención periódica se traduce directamente en una mejor salud oral a largo plazo.
Esta práctica rutinaria, recomendada al menos una o dos veces al año según la necesidad individual, es el cimiento para un bienestar bucal óptimo. Es la medida preventiva clave para interceptar el avance del sarro dental antes de que genere problemas mayores.
Eliminación Profunda
El ultrasonido de alta frecuencia desincrusta eficazmente el sarro y la placa, incluso bajo la línea de las encías.
Prevención Clave
Previene la inflamación gingival (gingivitis) y el avance hacia enfermedades periodontales más severas.
Salud y Bienestar
Restablece la salud periodontal y deja una sensación duradera de frescura y limpieza en su boca.
Soluciones avanzadas para sarro persistente y periodontitis
Cuando el sarro dental ha escalado más allá de la superficie, formando bolsas periodontales profundas, los tratamientos convencionales resultan insuficientes. Esta condición, un estadio avanzado de la enfermedad periodontal, requiere una intervención más profunda y específica para restaurar la salud bucal.
El raspado y alisado radicular, comúnmente conocido como curetaje dental, emerge como la solución fundamental en estos escenarios críticos. Este procedimiento no quirúrgico se enfoca en la limpieza minuciosa de las superficies radiculares, situadas bajo la línea de las encías.
Su objetivo principal es erradicar el sarro subgingival y las toxinas bacterianas que se adhieren a las raíces de los dientes. Además, se alisa la superficie radicular, dificultando la futura acumulación de placa y sarro, y favoreciendo la adherencia de los tejidos gingivales.
Este tratamiento es crucial para detener la progresión de la periodontitis, una de las principales consecuencias del sarro dental no tratado. Al eliminar los agentes irritantes, se reduce la inflamación de las encías y se previene la pérdida ósea que sostiene los dientes.
Para abordar eficazmente estos casos avanzados, es imperativo acudir a profesionales con experiencia y tecnología específica. Clínicas periodontales especializadas o los departamentos de periodoncia en hospitales dentales universitarios son la opción más recomendable.
En España, instituciones como la Facultad de Odontología de la Universidad Complutense de Madrid o la Universidad Internacional de Cataluña, son centros donde se investiga y aplica la odontología avanzada Palma en el ámbito de la periodoncia. Ofrecen la experiencia y los recursos tecnológicos necesarios para un tratamiento óptimo.
Los periodoncistas de estas instituciones utilizan técnicas avanzadas, a menudo apoyadas por microscopios quirúrgicos o sistemas de ultrasonidos de última generación, para asegurar una limpieza profunda y precisa. Este nivel de especialización es vital para la regeneración de los tejidos.
Tras el raspado y alisado radicular, la implementación de una rigurosa higiene dental profesional continua es indispensable. El seguimiento y el mantenimiento adecuados son clave para evitar la recurrencia del sarro y la progresión de la enfermedad periodontal, asegurando resultados duraderos.
Limpieza Subgingival Exhaustiva
Elimina sarro y toxinas bacterianas acumuladas por debajo de la línea de las encías, inaccesibles para el cepillado común.
Alisado de Raíces Dentales
Suaviza las superficies radiculares, dificultando la futura adhesión de placa y sarro y favoreciendo la salud gingival.
Freno a la Periodontitis
Detiene la progresión de la enfermedad periodontal, reduce la inflamación, previene la pérdida ósea y asegura la estabilidad dental.
El futuro sin sarro: estrategias de prevención y hábitos saludables
Adoptar una estrategia preventiva es fundamental para evitar la acumulación de sarro dental y asegurar una salud bucal duradera. La constancia en la rutina diaria, junto con el conocimiento adecuado, marca la diferencia crucial en la lucha contra esta afección común.
El pilar de esta prevención reside en una técnica de cepillado correcta, realizada dos veces al día, durante al menos dos minutos. Es vital usar un cepillo de cerdas suaves y enfocar la limpieza en la línea de las encías, desalojando eficazmente la placa y sarro dental antes de que se endurezca y se adhiera firmemente.
El uso diario del hilo dental es insustituible para limpiar las superficies interdentales, aquellas zonas inaccesibles para el cepillo. Complementariamente, la inclusión de enjuagues bucales con flúor, recomendados por un profesional, puede potenciar la eliminación de bacterias y reducir el riesgo de futura formación de sarro dental.
Una dieta equilibrada juega un rol crucial; limitar drásticamente el consumo de azúcares y alimentos procesados disminuye significativamente la producción de ácidos bacterianos. Esto previene no solo el sarro, sino también las consecuencias del sarro como la caries y la inflamación de las encías, conocida como gingivitis por sarro.
Las revisiones periódicas con un dentista de confianza son esenciales para una supervisión profesional y detecciones tempranas de cualquier anomalía. Estas visitas permiten identificar signos incipientes, recibir una higiene dental profesional preventiva y obtener la orientación personalizada necesaria para mantener una óptima salud bucal.
Para obtener los productos adecuados y recibir consejos expertos sobre su uso, las farmacias con sección de salud bucal representan un recurso valioso para la población. Allí se pueden encontrar desde cepillos especializados hasta pastas dentales con componentes específicos, vitales para el cuidado del esmalte y la prevención.
La educación desde temprana edad es clave, y los programas escolares de higiene dental, implementados con éxito en diversas comunidades, cumplen una función social vital. Estas iniciativas inculcan en los niños los hábitos correctos, protegiendo su sonrisa del sarro dental y fomentando un compromiso de por vida con su salud oral.
Integrar estas prácticas en nuestra vida cotidiana no solo previene eficazmente la formación de sarro, sino que también fomenta una odontología integral para un bienestar general. Un futuro sin la preocupación del sarro es completamente posible mediante la prevención activa y un compromiso constante con el autocuidado bucal.
Higiene Bucal Impecable
Cepilla dos veces al día durante 2 minutos, usa hilo dental y enjuague con flúor para eliminar eficazmente la placa.
Dieta Consciente y Equilibrada
Limita el consumo de azúcares y alimentos procesados para reducir la producción de ácidos y proteger tu esmalte.
Revisiones Dentales Periódicas
Visita a tu dentista de confianza regularmente para limpiezas profesionales y detección temprana de cualquier problema.
Whatsapp



