Vuelve a sentirte en buenas manos

Vuelve a sentirte en buenas manos

Reserva ahora tu primera cita gratuita
En Platón Dental, la primera cita se realiza con todo el tiempo y la atención que mereces: durante aproximadamente una hora, llevamos a cabo una exploración exhaustiva de tu boca y encías, acompañada de radiografías, para ofrecerte un diagnóstico preciso y un plan de tratamiento completo y personalizado.
Velamos por la salud bucodental de toda tu familia, desde los cuidados en el embarazo y la dentición de los niños hasta la atención especializada en la tercera edad, con un enfoque personalizado y profesional que se adapta a cada etapa de la vida.
Nuestro objetivo es convertir la rutina dental de pequeños y mayores en un momento cómodo y agradable, ofreciendo tratamientos avanzados y un trato cercano para que cada visita refuerce la confianza y el bienestar de todos.
La salud bucodental es clave para seguir disfrutando de tu vida con comodidad, buena digestión, seguridad al hablar y libertad para sonreír.
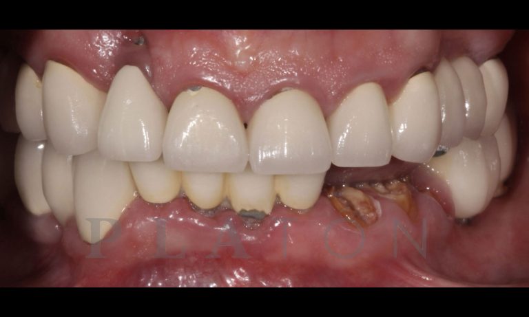
Te ofrecemos soluciones estables y personalizadas, incluso si has perdido piezas o tienes poco hueso, con un enfoque humano, digno y sin prisas.
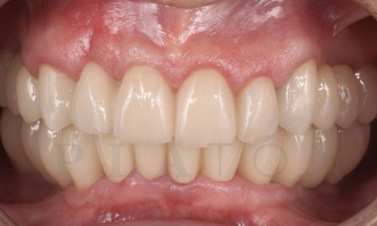
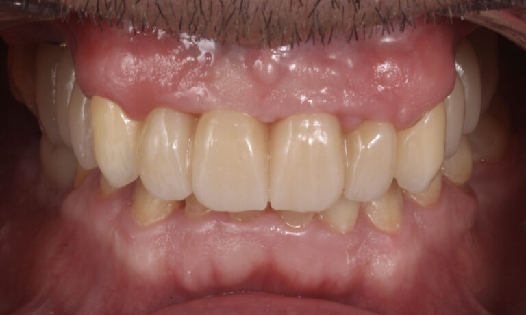
Las mejores soluciones restaurativas para que conserves tu tercera juventud
Sabemos que tu ritmo de vida exige eficacia, claridad y resultados visibles. En Platón entendemos lo importante que es una sonrisa sana y natural para tu imagen profesional y personal. Por eso, te ofrecemos tratamientos estéticos mínimamente invasivos, adaptados a tus horarios, con la tecnología y precisión que necesitas para seguir proyectando seguridad cada día.
Ya sea que busques mejorar tu estética dental, mantener tu salud bucal o resolver pequeñas molestias que llevas tiempo posponiendo, te acompañamos con un enfoque claro, profesional y resolutivo.
Estética dental con criterio clínico y armonía natural
Cada vez más personas jóvenes y adultas deciden alinear su sonrisa sin comprometer su imagen ni su rutina. Por eso ofrecemos tratamientos con alineadores prácticamente invisibles, planificados digitalmente y con la posibilidad de visualizar los resultados antes de empezar.
Todo el proceso está diseñado para adaptarse a tu ritmo de vida, con financiación flexible y seguimiento digital, sin aparatos visibles ni visitas innecesarias.
Soluciones de ortodoncia para jóvenes y adultos
We want you to feel as well cared for as if you were at home, even though you are far from your country. At Platón, we have a bilingual team that will accompany you with warmth and professionalism throughout your treatment, answering your questions and explaining each step clearly and personally.
We adapt to your specific needs, your schedule, and your expectations, offering you a high-quality dental experience in Mallorca. Whether you live here or are visiting temporarily, we work to make you feel safe, calm, and well informed.
We want you to feel as well cared for as if you were at home
Entendemos que no todas las personas llegan al dentista con la misma historia. Sabemos que detrás de cada caso hay vivencias, temores o antiguas experiencias que a veces han dejado huella. Por eso, te recibimos sin juicios y con un equipo especialmente sensible, preparado para acompañarte con delicadeza desde el primer paso.
Te explicamos cada tratamiento con claridad, te ofrecemos soluciones sin dolor y ponemos a tu disposición sedación consciente cuando lo necesites.
También cuidamos de aquellos que no nos quieren ver
Algunos de los tratamientos que llevamos a cabo



Doctor en Odontología (mención sobresaliente cum laude).
Especialista en Periodoncia e Implantes.
Licenciado en Odontología, Universitat Internacional de Catalunya.
Master en Periodoncia e Implantes, Universitat Internacional de Catalunya acreditado por la European Federation of Periodontology (EFP).
Post-Grado en Prostodoncia, Universitat Internacional de Catalunya.
Master en Biomedicina, Universitat Internacional de Catalunya.
Profesor Asociado del Master de Periodoncia de la UIC.
Socio titular especialista de la sociedad española de periodoncia y osteointegración (SEPA).
Sabemos que muchas personas han vivido experiencias poco agradables en el pasado. Por eso, en Platón Dental trabajamos con especial cuidado, cercanía y claridad, para que vuelvas a sentirte seguro, comprendido y en buenas manos.
Entendemos la salud dental como parte de tu salud general. Trabajamos para que vuelvas a sonreír por dentro y por fuera.
Abordamos situaciones avanzadas con precisión, como la falta de hueso, reabsorciones severas o rehabilitaciones completas. Si otros lo ven difícil, nosotros lo estudiamos con rigor.
Nos tomamos el tiempo necesario para comprender tu caso, planificar con rigor y explicarte cada paso con claridad.
Disponemos de anestesista propio para que puedas realizarte todos los tratamientos sin miedo ni ansiedad.
Utilizamos materiales de última generación y técnicas regenerativas que nos permiten evitar grandes injertos, acortando los tiempos y facilitando tu recuperación.
Trabajamos con TAC digital 3D, planificación asistida por ordenador y cirugía guiada, lo que nos permite ser más precisos, más rápidos y menos invasivos.
Estamos especialmente preparados para tratar a quienes han evitado el dentista durante años. Recuperarás tu salud con calma y confianza.


Conoce nuestra clínica en Palma
Clínica Platón Dental es una clínica dental en Palma ubicada en una zona de fácil acceso, ideal para quienes buscan tratamientos avanzados con un enfoque cercano y personalizado.
Carrer de Fra Juníper Serra, 7
07014 Palma
Illes Balears – España
Tfno. +34 971452028
Whatsapp +34971452028
Horario
Lunes a jueves, de 09h. a 19h.
Viernes, de 09h. a 15h.

Conoce nuestra clínica en Manacor
Nuestra clínica dental en Manacor está situada en una de las zonas más céntricas y accesibles de la ciudad, lo que la convierte en una opción cómoda para quienes viven en el Llevant de Mallorca.
Carrer de Pius XII, 3
07500 Manacor
Illes Balears – España
Tfno. +34 971554964
Whatsapp +34 971554964
Horario
Lunes a viernes, de 09:30h. a 19:30h.

Más de 40 años de experiencia avalan nuestra trayectoria y la confianza de miles de pacientes.
Excelencia en calidad, con protocolos rigurosos y resultados duraderos.
Alta tecnología y digitalización, que garantizan diagnósticos precisos y tratamientos mínimamente invasivos.
Clínicas en Palma y Manacor, con espacios modernos y accesibles.
Opciones de financiación flexibles, para que la salud dental esté al alcance de todos.
Empatía y cercanía, porque para nosotros cada sonrisa es única.
Equipo altamente cualificado, en formación continua para ofrecer las técnicas más avanzadas.
Miembros de reconocidas sociedades científicas, lo que garantiza compromiso con la innovación y la ética profesional.
Atención integral, desde la prevención hasta los tratamientos más complejos, todo en un mismo lugar.
Miles de sonrisas transformadas, un historial de casos de éxito que nos respalda.