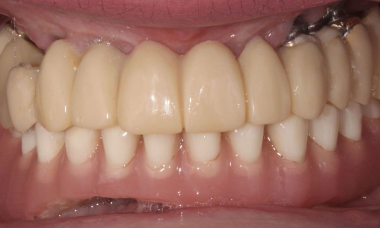
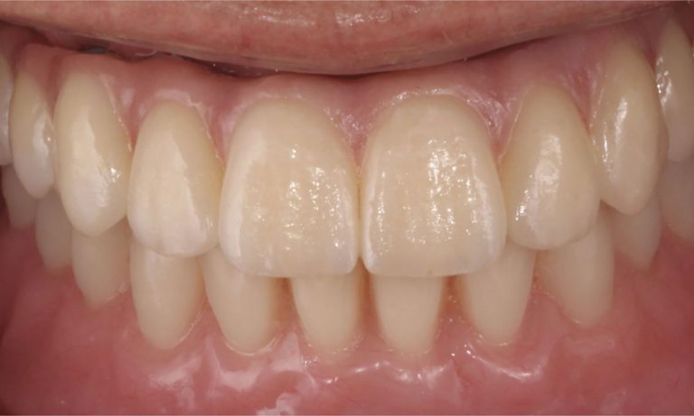
Caso clínico: Mejora de función y estética con intervención mínimamente invasiva
En este caso realizamos un tratamiento mínimamente invasivo para resolver el problema del paciente en la zona anterior. Gracias a técnicas precisas y conservadoras, conseguimos:
- Mejorar la función dental, recuperando la capacidad de masticar correctamente.
- Mejorar la estética, logrando una sonrisa armónica y natural.
El resultado puede apreciarse claramente en las fotos de antes y después, donde se nota la diferencia en la forma, posición y armonía de los dientes, con un procedimiento que fue rápido, seguro y cómodo para el paciente.
Whatsapp




