Retratamiento de Rehabilitación Completa
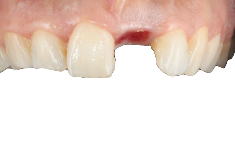
La paciente acudió a nuestra clínica con molestias constantes derivadas de una rehabilitación dental realizada previamente en otro centro.
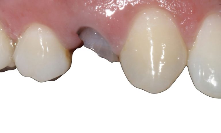
Tras un análisis exhaustivo y detallado, planificamos y llevamos a cabo un retratamiento completo, con el objetivo de:
- Eliminar las molestias y recuperar la salud oral.
- Restaurar la función masticatoria de manera correcta y estable.
- Devolver la armonía estética a la sonrisa de la paciente.
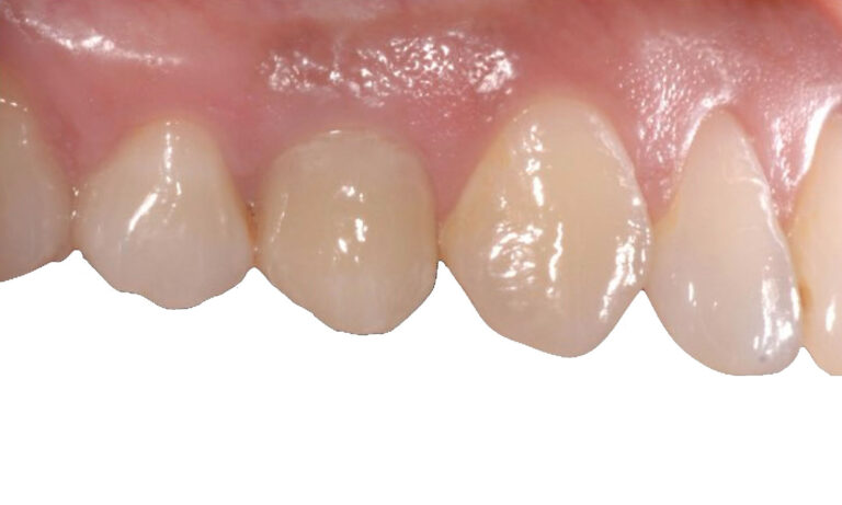
El resultado fue una rehabilitación integral, saludable y funcional, que transformó tanto la sonrisa como la calidad de vida de la paciente.
Whatsapp




